navigation
瑞士戴通diatome钻石刀DHCO4560
DiATOME超薄切片钻石刀
提供三大系列钻石刀 (ultra, cryo 与 histo )
DiATOME ultra系列
常温超薄切片钻石刀, 是全球用户推荐的*优质钻石刀。
Ultra 35钻石刀的优势,特别是对各种生物标本、非均质标本、非脱钙骨、牙科材料等的切片。非常适合切割相对较软的材料研究样品,包括金属和聚合物,以及混合样品,例如填充纳米颗粒的聚合物、催化剂、晶体、半导体等脆性材料.

DiATOME ultra 系列, 常温超薄切片钻石刀
位居全球领导地位,满足*高质量的电子显微镜切片用途。 从生物学到材料学,钻石刀都在超薄切片质量的保持和刀片耐用性之间实现了良好的平衡。
各型号及应用订购规格


DiATOME cyo系列
冷冻低温超薄切片钻石刀
有Dry, Wet, immuno, AFM 四类,可大幅降低切片时的压力损伤, 保存样本的*佳型态结构。
各型号及应用订购规格


CEMOVIS
CEMOVIS (Cryo-Electron Microscopy Of Vitreous Sections)是把含水生物通过高压冷冻达到无冰晶的玻璃化样本, 再通过冷冻超薄切片的技术,能够真实有效的保持了生物体内水分的原位,玻璃态的固定获得*接近生理自然状态的细胞组织的原位结构。
CEMOVIS(高压冷冻+冷冻切片+冷冻电镜)没有使用化学固定,没有染色,也没有生物成分的聚集;是冷冻电镜样品制备的切片技术是获得2017诺贝尔化学奖的肯定。
DiATOME cryo25( CEMOVIS)与cryo immuno ( CEMOVIS或 Tokuyasu)具有更小的切削角度,可取得更薄的切片避免使样品产生压缩、裂痕、褶皱等机械损伤。取得*高切片质量让电镜成像获得更多的细节解析。

DiATOME histo系列
组织切片钻石刀
无论软硬的生物或工业材料样本,或有无Acrylic或Epoxy resins包埋, 皆可适用。
histo Jumbo*适于IHC的3D重建的连续切片.
各型号及应用订购规格

示例1:用超声波Maxi刀在55 nm处从高压冷冻线虫样品中获得的连续切片

示例2:HP冷冻/冷冻替代海马体切片培养的神经纤维网

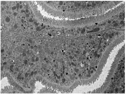
示例3:果蝇胃盲眼和线粒体,嵴清晰,周围膜保存完好。







所有产品分类
友情链接Link

